患者的口碑才是王道

医生和护士都经过严格的专业培训,具备丰富的临床经验。他们还会根据患者的年龄、性别、身体状况等因素,为患者制定合适的口腔治疗计划。

不断引进国际先进的医疗设备和技术,如数字化牙科影像系统、激光治疗仪等。这些设备和技术的应用,能够为患者提供更加精准、高效的治疗服务。

为了提供更好的就诊体验,口腔诊所会不断提升服务质量。提供舒适的就诊环境,一对一的专业咨询,及时解决患者在康复过程中遇到的问题。

由于口腔诊所的专业水平、设备水平和服务质量都得到了患者的认可,因此,口腔诊所在社会上拥有良好的口碑。
NEWS
口腔科普
202026-01 福利播报:哈尔滨牙齿矫正诊所“申请入口”牙齿矫正期间可以正常洗牙吗
福利播报:哈尔滨牙齿矫正诊所“申请入口”牙齿矫正期间可以正常洗牙吗,牙齿矫正期间...
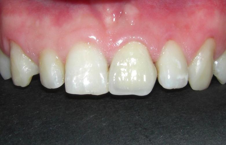
202026-01 患者口碑:哈尔滨牙齿贴面好的诊所“真实评价”牙齿贴面可以改变牙齿颜色吗
患者口碑:哈尔滨牙齿贴面好的诊所“真实评价”牙齿贴面可以改变牙齿颜色吗,牙齿贴面...
202026-01 预约指南:哈尔滨牙齿美白诊所“咨询入口”牙齿贴面适合什么人做
预约指南:哈尔滨牙齿美白诊所“咨询入口”牙齿贴面适合什么人做,牙齿贴面适合有牙齿...
192026-01 本周推荐:哈尔滨哪家补牙好“排名总榜”补牙哪种性价比高
本周推荐:哈尔滨哪家补牙好“排名总榜”补牙哪种性价比高,牙齿出现龋洞等问题时,补...
192026-01 直击排名:哈尔滨专业的口腔诊所“动态展现”树脂贴片和烤瓷贴片的区别
直击排名:哈尔滨专业的口腔诊所“动态展现”树脂贴片和烤瓷贴片的区别,树脂贴片和烤...
192026-01 新盘点!哈尔滨牙齿修复哪家好“倾心推荐”牙缝太大要怎么补救
新盘点!哈尔滨牙齿修复哪家好“倾心推荐”牙缝太大要怎么补救,牙缝大不仅显尴尬,还...
0451-82698000